星際空間探測到最大含硫分子
科技日報
|
2026-01-27 01:35:00
氧化石墨烯薄膜實現編程控制形變
科技日報
|
2026-01-27 01:35:00
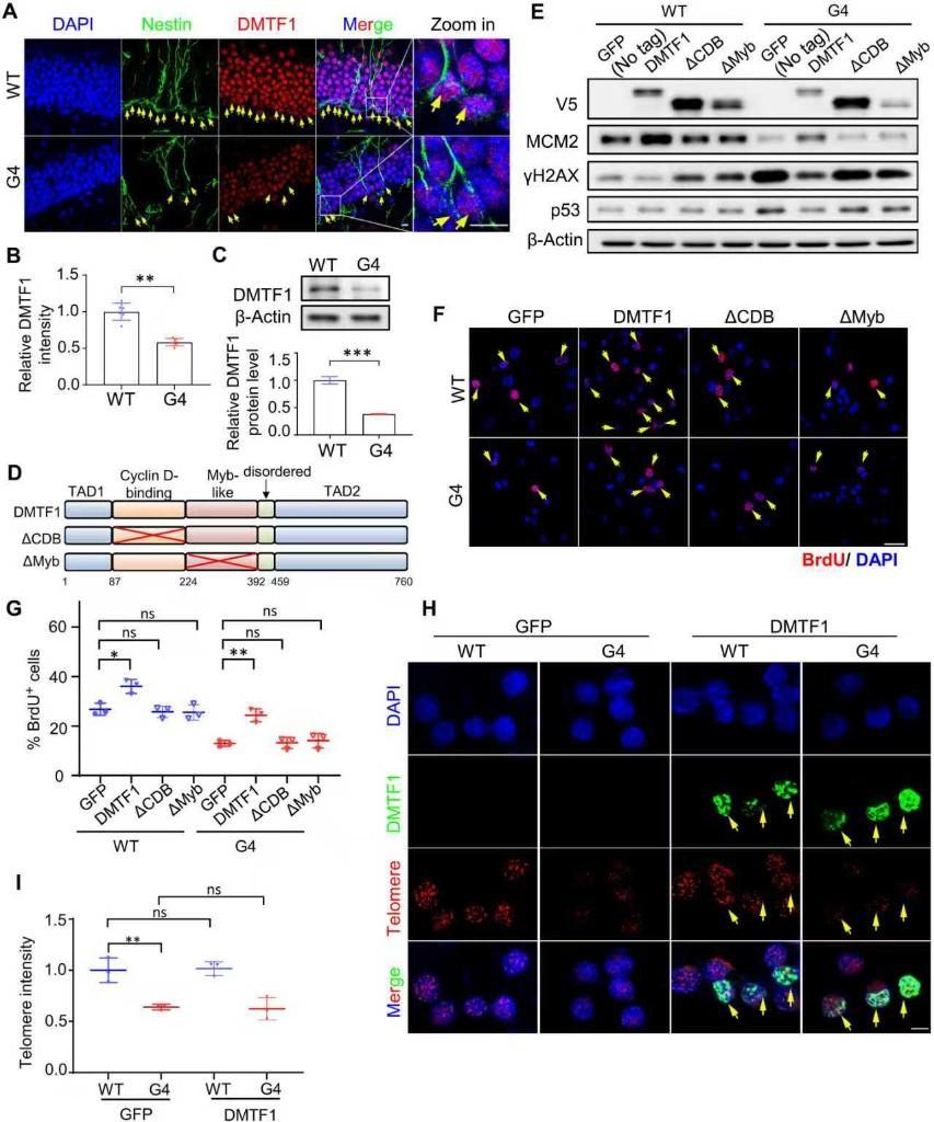
關鍵蛋白恢復衰老神經干細胞再生能力
科技日報
|
2026-01-27 01:35:00
韓正式施行AI發展指導性法律
科技日報
|
2026-01-27 01:35:00
可控技術實現原子精度“骨架編輯”
科技日報
|
2026-01-24 01:45:00
改良銻基硫族材料電池光電效率創新高
科技日報
|
2026-01-24 01:35:00
韓指定光州為首個自動駕駛實證城市
科技日報
|
2026-01-24 01:35:00
砂礫大小光譜儀能進行實驗室級分析
科技日報
|
2026-01-24 01:35:00
最大納米顆粒量子疊加態創建
科技日報
|
2026-01-23 01:45:00
液態金屬驅動的新型電機研制成功
科技日報
|
2026-01-23 01:35:00
遠古火星或有過北冰洋大小的海洋
科技日報
|
2026-01-23 01:35:00
韓主要電池企業產能轉向儲能領域
科技日報
|
2026-01-23 01:35:00
金屬材料導熱性能紀錄刷新
科技日報
|
2026-01-22 01:45:00
心臟病損后還能再生心肌細胞
科技日報
|
2026-01-22 01:35:00
病毒與細菌在太空進化模式與地球不同
科技日報
|
2026-01-22 01:35:00
自然形成的木乃伊獵豹“現身”
科技日報
|
2026-01-22 01:35:00